单克隆抗体

- GDF15 Monoclonal Antibody
-
恒远生物抗体平台现已拥有4万多种抗体(含单抗和多抗),包括人类常用抗体,模式生物类相关抗体、小分子抗体、二抗、标签抗体及内参抗体等。并以每年4000种的速度在持续增长。
恒远生物拥有专业的质控团队,配备先进实验仪器,现已成功地建立了ChIP平台,因此我们的抗体不仅能提供Biotin、FITC、HRP等标记,大部分抗体都能进行ELISA、WB、IHC、IF、IP、ChIP等应用验证。
我们致力于为所有用户提供高亲和力、高特异性的优质抗体,欢迎来电咨询。
GDF15 Monoclonal Antibody
-
货号:HYK-200255
-
规格:
-
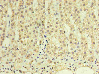
图片:
产品详情
-
产品名称:mouse anti-Homo sapiens (Human) GDF15 monoclonal antibody
-
Uniprot No.:Q99988
-
基因名:GDF15
-
别名:GDF 15 antibody; GDF-15 antibody; Gdf15 antibody; GDF15_HUMAN antibody; Growth differentiation factor 15 antibody; Growth/differentiation factor 15 antibody; Macrophage inhibitory cytokine 1 antibody; MIC 1 antibody; Mic-1 antibody; MIC1 antibody; NAG 1 antibody; NAG-1 antibody; NAG1 antibody; NRG 1 antibody; NRG-1 antibody; NRG1 antibody; NSAID (nonsteroidal anti inflammatory drug) activated protein 1 antibody; NSAID antibody; NSAID regulated protein 1 antibody; NSAID-activated gene 1 protein antibody; NSAID-regulated gene 1 protein antibody; PDF antibody; PLAB antibody; Placental bone morphogenetic protein antibody; Placental bone morphogenic protein antibody; Placental TGF beta antibody; Placental TGF-beta antibody; Prostate differentiation factor antibody; PTGF beta antibody; PTGFB antibody
-
宿主:mouse
-
反应种属:Human
-
免疫原:Recombinant GDF15 Protein
-
免疫原种属:Homo sapiens (Human)
-
标记方式:Non-conjugated
-
克隆类型:monoclonal
-
抗体亚型:IgG2a
-
纯化方式:>95%,Protein G purified
-
克隆号:5E1A5
-
浓度:It differs from different batches. Please contact us to confirm it.
-
保存缓冲液:Preservative: 0.03% Proclin 300 Constituents: 0.01M PBS, PH 7.4
-
产品提供形式:liquid
-
应用范围:ELISA,IHC
-
推荐稀释比:
Application Recommended Dilution IHC 1:50-1:500 -
Protocols:ELISA Protocol
Immunohistochemistry (IHC) Protocol
-
储存条件:Upon receipt, store at -20°C or -80°C. Avoid repeated freeze.
-
货期:Basically, we can dispatch the products out in 1-3 working days after receiving your orders. Delivery time maybe differs from different purchasing way or location, please kindly consult your local distributors for specific delivery time.
TP53 Monoclonal Antibody
MSH6 Monoclonal Antibody
CD81 Monoclonal Antibody
RRM1 Monoclonal Antibody
NPPB Monoclonal Antibody
AFP Monoclonal Antibody
在线询价
- *
- *
- *
- *
- *
-
*
);)
相关产品
NPPB Monoclonal Antibody
恒远生物抗体平台现已拥有4万多种抗体(含单抗和多抗),包括人类常用抗体,模式生物类相关抗体、小分子抗体、二抗、标签抗体及内参抗体等。并以每年4000种的速度在持续增长。
查看详细PLA2G7 Monoclonal Antibody
恒远生物抗体平台现已拥有4万多种抗体(含单抗和多抗),包括人类常用抗体,模式生物类相关抗体、小分子抗体、二抗、标签抗体及内参抗体等。并以每年4000种的速度在持续增长。
查看详细




